Composite - Tooth Colored - Fillings
Applied Procedures:
Composite - Tooth Colored - Fillings
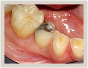
![]() |
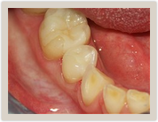
![]() |
| Before Photo | After Photo |
Removal of an amalgam (silver) filling and replacement with a natural tooth colored full-ceramic filling using the CEREC system.











