Dental Crowns
Applied Procedures:
Dental Crowns
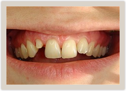
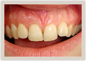
![]() |
![]() |
| Before Photo | After Photo |
Fractured Anterior Tooth restored with a Full-Ceramic Crown.
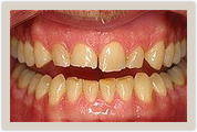
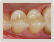
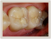
![]() |
![]() |
| Before Photo | After Photo |
Full-Ceramic Zirconia Crowns & a Ceramic Inlay
Applied Procedures:
Dental Crowns
![]() |
![]() |
| Before Photo | After Photo |
Aesthetic Reconstruction with Porcelain Crowns
![]() |
![]() |
| Before Photo | After Photo |
Nice and natural Ceramic Inlays (Fillings) and Full-Ceramic Zirconia Crowns
![]() |
![]() |
| Before Photo | After Photo |
Full-Ceramic Zirconia Bridge and Crowns
Applied Procedures:
Dental Crowns, Dental Bridges, Dental Implants & Dentures, Ridge Augmentation, Sinus Augmentation
![]() |
![]() |
| Before Photo | After Photo |
![]() |
![]() |
| Before Photo | After Photo |
This 62 year old patient received 15 implants after losing all teeth besides 2 lower canines.
A Digital Volume Tomography (DVT) was used to evaluate and plan the surgery. The complete surgical and prosthetic treatment was performed by Dr. Rosala.
Multiple bone graft surgeries, bilateral sinus augmentation grafts, and 8 implants were done to restore the missing teeth on top.
Multiple bone graft surgeries and 7 implants were done to restore the missing teeth on the bottom.
Bridges and Crowns are made of full-ceramic zirconia.
![]() |
![]() |
| Before Photo | After Photo |
Patient lost all posterior teeth. His smile was reconstructed with 6 implants, bilateral sinus graft, and porcelain crowns.
![]() |
![]() |
| Before Photo | After Photo |
Five implants, multiple root canal treatments, and porcelain crowns were done to improve this patient's smile.



























