Dental Veneers
Applied Procedures:
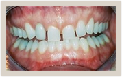
Dental Veneers
![]() |
![]() |
| Before Photo | After Photo |
Attractive Smile Makeover with full-ceramic restorations.
Applied Procedures:
Dental Veneers
![]() |
![]() |
| Before Photo | After Photo |













