Direct Composite Veneers
Applied Procedures:
Direct Composite Veneers
![]() |
![]() |
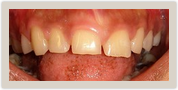
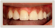
| Before Photo | After Photo |
This Smile Enhancement was done in just one appointment, was totally painless, and didn't require an injection or grinding down of the natural teeth at all!
The same materials (composites) used for white fillings can be utilized to fabricate Composite Veneers in just one appointment. Aesthetics and self-esteem can be improved so much, like in this young girl with a missing lateral incisor (front tooth), shifted midline, worn anterior teeth, and open bite.
![]() |
![]() |
| Before Photo | After Photo |
No grinding down of the natural teeth - just bonding is done to complete the change!
A complete new smile in one appointment!













